教員
研究紹介動画
1.難治性疾患に対する革新的な治療薬の創製を目指して
近年の目覚ましい医療の進歩は薬によって支えられています。最近開発された分子標的薬や免疫チェックポイント阻害薬などにより、一部の悪性腫瘍は制御可能となり、C型肝炎も内服薬で治る過去の病気になりつつあります。胃がんもピロリ菌の除菌治療により大幅に減少していくことでしょう。このように画期的な新薬の登場が多くの患者さんを救ってきましたが、一方で未だ解決されていない難病も数多く残されています。薬物治療学講座では、講座の名前の通り、難治性がんや生活習慣病などを治療するための革新的な新薬の開発を目指し、慶應義塾大学医学部や国立がん研究センター、製薬企業などとも連携しながら精力的に研究活動を行っています。
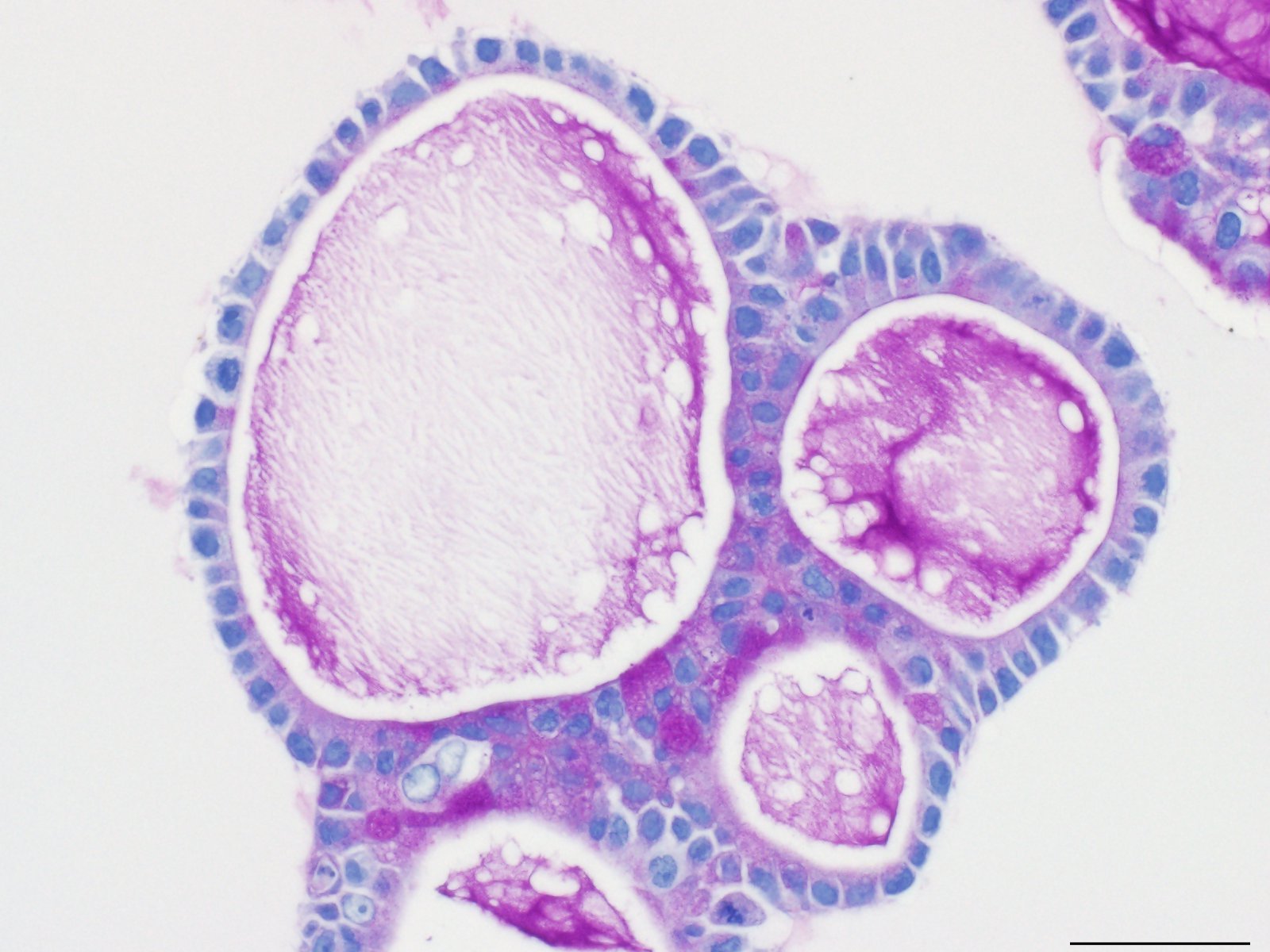
私たちは、近年開発された組織幹細胞の3次元培養法であるオルガノイド培養により、難治性がんである胆道・膵臓がんの患者さんからいただいた組織を用いてオルガノイドを樹立し、培養皿の中で難治性がんを再現することに成功しました。(写真参照)
この胆道・膵臓がんオルガノイドを用いて、革新的な治療薬の創製を目指しています。また、老化したマウスの腸管上皮からオルガノイドを樹立し、様々な解析を行うことで、老化の分子メカニズムの解明や老化を防ぐ薬の開発にも挑戦しています。
当講座では、将来、アカデミアや企業などで病態解明や創薬の分野で国際的に活躍できる研究者や、薬剤師として臨床現場で活躍しながら創薬研究を行うことのできるPharmacist Scientistの育成を目指しています。大学院に進学して研究をさらに発展させたい学生を特に募集しています。研究内容などに興味のある方は、是非、お気軽にお問い合わせ下さい。
2.細胞外RNAに注目した未来型診断・治療法の開発
近年、体液中の微量な核酸分析技術が飛躍的に向上しており、これを用いると、従来の血液検査などと比べて遥かに膨大な情報が、低侵襲で得られることがわかり、いわゆる「リキッドバイオプシー」技術として医療現場への応用開発が進んでいます。私たちは、特にmicroRNAなどの血液中のRNAに注目し、がん早期診断技術の開発や、既存の薬剤の有効性を予測するコンパニオン診断の開発を、複数の大学や医療機関、企業と共同で進めています。
この細胞外RNAは、全身の様々な細胞が能動的に分泌し、ホルモンやサイトカインのように細胞間コミュニケーションツールとしての生理活性を有することがわかりつつあります。これまでホルモンやサイトカインの役割の解明が多くの創薬に貢献したように、細胞外RNAの役割を理解することで、がん転移抑制や臓器の線維化改善による発がん予防といった、未だ有効な治療法のない病態に対してアプローチできるのではないかと考え、CRISPR/Cas9など新規ゲノム編集技術など最新の遺伝子工学技術を用いて、革新的な治療法の開発に向けた研究を行っています。
3.肥満・生活習慣病・老化の予防・改善を目指した食事・運動・薬物療法の検討
遺伝的な要因や高脂肪食の摂取によって肥満になるマウスやラット、脂肪・肝臓の培養細胞を用いて、肥満・生活習慣病・老化に関わる様々な遺伝子や蛋白質について研究をしています。現在は肥満・生活習慣病モデル動物に食事・運動・薬物療法を行い、肝臓や脂肪組織、骨格筋などに発現する遺伝子や蛋白質を解析することによって、肥満・生活習慣病の予防・治療に有用なツールを探索しています。最近、私たちは高脂肪食や運動が脂肪組織中の様々な遺伝子発現をエピゲノム的に制御している現象を見つけたので、その遺伝子のDNAメチル化やヒストン修飾について解析をしています。エピゲノム治療薬は難治性がん疾患の治療で期待されていますが、患者数の多い肥満・生活習慣病・老化に関連する遺伝子・蛋白質の発現制御にもエピジェネティクスが関係している可能性が高いことから、エピゲノム治療薬を用いた食事・運動・薬物療法のコンビネーション療法についてその可能性を検討しています。また100歳を超える長寿者(百寿者)は豊かな食生活・運動を行っていることが報告され、エネルギーの摂取(腸管)・蓄積(脂肪)・利用(骨格筋)の機能が高く維持されていることから、百寿者の生理機能を参考にした抗老化に対する予防・改善方法の開発にもチャレンジしています。


