Participant Profile

Koji Jimura

Koji Jimura
I believe the question "Who am I?" is one of the ultimate questions for humanity. In ancient Greece, it seems that the mechanisms of what we now call the "mind," such as memory and thought, were already considered important. However, during the Middle Ages, while fields like astronomy, physics, and chemistry advanced our understanding of nature, there appears to have been little attempt to understand the self through empirical science.
The nineteenth-century scientist Wilhelm Wundt believed that the mechanisms of the mind could be understood by carefully observing one's own mind. This method, known as "introspection," is empirical in that it seeks to understand its subject through observation. However, it was criticized on the grounds that the mind has no physical substance and is therefore unsuitable for observation. Furthermore, because the observer and the object of observation are not separate, it is an immature scientific method.
To solve the problems of introspection, behaviorism in the first half of the twentieth century focused its observations on visible "behavior." However, without a method to infer the mechanisms underlying behavior, it was difficult to understand the inner workings of the mind. In the latter half of the twentieth century, cognitive psychology developed, addressing the issues of both introspection and behaviorism. Cognitive psychology tested the hypothesis that the workings of the mind are a "process of handling information from the external world" by observing behavior. However, it did not observe the physical substance of this process.
Meanwhile, in the latter half of the nineteenth century, it became known that characteristically human behaviors and mental functions could be impaired by brain damage. It was also believed that the functions of the brain varied by region. This suggested the possibility of understanding the human mind as a mechanism of the brain by studying the relationship between the brain and behavior. However, because brain damage in humans depends on accidental events such as accidents and illnesses, it is not easy to study it systematically.
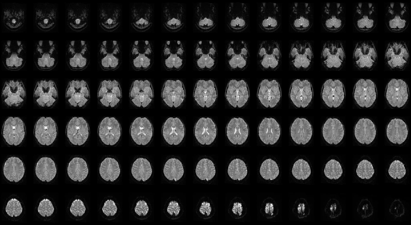
I believe that cognitive neuroscience, the field I am currently engaged in, provides a framework for scientifically answering the question "Who am I?". In our laboratory, a typical method involves measuring human behavior and brain activity and examining the relationship between them. In particular, we measure the brain activity of humans performing psychological tasks using functional magnetic resonance imaging (fMRI; Figure 1).
Functional MRI allows us to measure activity across all regions of the brain, one of the largest organs in the human body, without causing any damage (Figure 2). Using this method, we can investigate which areas of the brain are active, under what conditions, and in what way (Figure 3). This offers the potential to understand the workings of the mind as information processing in the brain. Importantly, this scientific framework solves the problems faced by the pioneers mentioned above by enabling an empirical understanding of the mind.
In our daily research activities, we sometimes use introspective methods, like Wundt's, when formulating hypotheses and designing experiments. Collecting experimental data can sometimes require patience and physical stamina. Analysis demands carefulness and trial and error. And when we obtain results, we attempt to explain them from psychological, physiological, mathematical, and mechanistic perspectives. When the results are compiled for publication, they must be formatted according to the conventions of modern science.
Hearing about "elucidating the mechanisms of the human brain and mind" might conjure images of a glamorous academic field. However, I believe that to understand the mechanisms of the mind, it is crucial to persevere in steady, patient thinking. I find that the fascination of this field lies in endlessly pondering and imagining about the brain and mind. Therefore, the most fundamental activities in our laboratory are invisible. Nevertheless, what I find particularly captivating about this field is the process of empirically solving, with the methods of modern science, the simple questions about the "self" that our predecessors have wondered about since the time of ancient Greece.
The surprise and excitement of witnessing a psychological phenomenon that no one has ever seen before are beyond description. But the feeling of having understood "what I am" lasts only for a moment. In the next instant, my imagination is sparked, new questions arise, and my interest in the brain and mind grows even stronger. I believe that by re-examining questions, continuing to think, and accumulating empirical evidence, we can deepen our scientific understanding of ourselves.