Participant Profile

Toshiyuki Tanaka

Toshiyuki Tanaka
For the final diagnosis of tumors, a pathological diagnosis is made based on the shape of cells in the lesion. These diagnoses are performed by pathologists, but in Japan, there is a shortage of pathologists relative to the number of tumor patients, creating a situation where they cannot devote sufficient time to diagnosing each case. Since there are many cases that are difficult to diagnose even for veteran pathologists, this lack of diagnostic time due to the shortage of pathologists could potentially lead to misjudgments.
Currently, in uterine cancer screening, which has the highest number of examinations, a process is performed by clinical laboratory technicians (cytotechnologists) to select only those specimens suspected of containing tumors before pathological diagnosis. This process is called screening. To reduce the number of cases diagnosed by pathologists, including other tumors, the development of screening systems using computers and image processing technology is desired. It is believed that screening devices that provide additional information for physicians to make a diagnosis can improve the efficiency of medical care itself.
The target of screening is human cell tissue. Unlike artificial devices or components, each cell has a slightly different shape. In other words, the process required is not to find things of a standardized, identical shape, but to find things of a similar shape. Furthermore, an effective quantification method is needed to distinguish the subtle differences in shape between normal cells and tumor cells. Humans can make such judgments easily, but it is a process that computers struggle with.
The first stage of the process is image quality standardization. When a specimen is photographed with a digital camera, the device settings and staining conditions result in images with completely different color tones and contrast. This becomes a critical issue for computer-aided diagnosis. Therefore, preprocessing is performed to obtain nearly identical images even under different imaging conditions. The second stage is to quantify the features of the cytoplasm and cell nucleus. Even for conditions that look almost the same to the general public, the diagnostic criteria may differ slightly depending on the location of the affected area. Quantifying features appropriate for each case is the biggest challenge in computer-aided diagnosis.
Finally, there is the determination of malignancy based on feature values. This stage involves research into statistical methods for distinguishing features. Currently, a method called the support vector machine is said to be effective for pathological diagnosis. Since sufficient results are not always obtained with existing statistical processing methods alone, the development of effective discriminant analysis methods is also a research topic in this field. If pathological diagnosis can be performed quickly, and the early detection of disease and diagnosis of severity become more accurate, it will significantly impact subsequent surgery and treatment. In our laboratory, all research staff are continuing their efforts toward the development of a diagnostic support system that is useful in clinical practice.
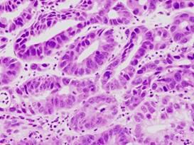
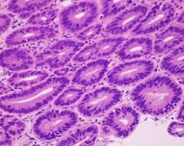
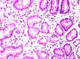
Shape and Malignancy of Gastric Glandular Ducts
From left: microscope images of non-cancerous, gastric adenoma, and gastric cancer tissues. These are typical cases where the degree of malignancy is very clear. In actual specimens, cancerous tissue is often included as part of the whole, or has an intermediate shape. Gastric cancer, colorectal cancer, prostate cancer, and breast cancer show similar morphological features.
Shape Feature Values of Glandular Ducts
Extracts the area of the cytoplasm (A) and the area of the lumen (B, C) in the glandular ducts.
Segment Length of Glandular Ducts
The maximum horizontal segment length (A), maximum intercept length (B), and average vertical intercept length (C) are also important feature values.
Difference in Feature Values for Non-Cancerous, Tumor, and Cancerous Tissues
The difference in variance values obtained from the image's brightness histogram. The non-cancerous tissue shows a large value.