Participant Profile

Kazuo Tanishita

Kazuo Tanishita
Have you ever gone to a hospital when you were sick and felt overwhelmed by all the large machines? Today, many advanced technologies from the field of science and technology have been introduced into the world of medicine. This has led to the creation of numerous new medical technologies, enabling diagnoses and treatments that place less strain on the body. From this perspective, it is not surprising that medical research is conducted at the Faculty of Science and Technology. This collaboration between the fields of science and technology and medical sciences to create new medical technologies is known as medical-engineering collaboration.
Medical-engineering collaboration has been practiced in the West for 40 years, with researchers from the fields of medical sciences and science and technology collaborating on the research and development of many medical technologies. For example, fluid dynamics, which has advanced to make airplanes fly, is also used to study blood flow within the body. In other words, fluid dynamics is merging with medical sciences to create new medical technologies. It is now also possible to determine the best surgical method before vascular surgery by using computer flow simulations to see which approach will result in optimal blood flow. Furthermore, fluid dynamics is utilized in the diagnosis and treatment of arterial diseases such as arteriosclerosis and aneurysms.
Figure 1 shows an aneurysm in a cerebral blood vessel. It has become apparent that the way blood flows within the aneurysm may make it possible to predict its growth and risk of rupture. Research analyzing blood circulation in this manner using fluid dynamics is advancing both domestically and internationally, and has come to be known as biofluid dynamics. Simulating blood circulation using supercomputers has also become a reality.
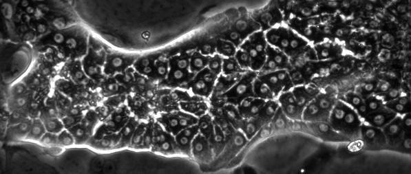
Meanwhile, fluid dynamics is also being applied in the field of regenerative medicine, a topic of much discussion today. Figure 2 shows a capillary network formed by the endothelial cells that constitute the inner wall of a blood vessel. A branch-like structure is visible in the center of the photograph; this is the capillary network. It has been found that this capillary network grows in response to the stimulus of force from blood flow on the vessel wall (in the background, you can see what looks like paving stones; these are the endothelial cells of the vessel wall). In other words, the endothelial cells of the blood vessel sense the blood flow and attempt to expand the capillary network. We are working hard to utilize this property to form capillary networks within regenerated organs. Figure 3 is a micrograph showing bile canaliculi of the liver, formed in vitro, contracting to pump out bile.
Thus, fluid dynamics is merging with medical sciences and contributing to the development of new medical technologies. To high school students interested in medical technology, I highly recommend engaging in research on medical-engineering collaboration at the Faculty of Science and Technology.